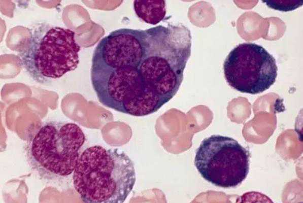
过去治疗方法必须杀死肿瘤细胞,在这样做的过程中,虽然肿瘤细胞被切除了,但正常细胞却受到了严重的破坏。王振义使用“感应法”,相当于“劝他不要做‘坏人’,而要做‘好人’,‘弃恶归正’”。 此后王振义和他的学生陈竺、陈赛娟、陈国强等创造性地提出了“全反式维甲酸联合三氧化二砷”的治疗方法,使这种一度被认为是急性早幼粒细胞白血病 最危险的白血病,成为世界第一种可治愈的白血病。

这种治疗方法被海外媒体誉为“上海计划”,与青蒿素的发明一起被列为“20世纪新中国对世界医学的八项贡献”。 基于此,王振义获得了国际肿瘤学界最高奖项——凯特琳奖。 评委会称王振义为“人类癌症治疗史上第一个成功应用诱导分化疗法的人”。之后王振义带领学生和科研团队不断优化这一特殊治疗方案,成功将患者的生存率从10%提高到97%!正是因为王老的独特手法,急性早幼粒细胞白血病成为人类肿瘤治疗史上第一个可以治愈的肿瘤。

王振义院士并没有利用自己的专利大赚一笔,却意外放弃了申请这项专利。 正是他的“大义”,让这盒10粒白血病“救命药”的价格保持在低价位,今天仅售290元,也被纳入了医疗范围 保险。王振义院士放弃专利,将救命药降到290元一盒,改写人类历史!2010年,王振义获得国家最高科学技术奖。 同时国际小行星中心也将一颗行星命名为“王振一星”。当时作为唯一的“销售渠道”,全反式维甲酸自然非常火爆,全国乃至国外的需求者都会前来采购。 美国卖180美元,而王院士医院的价格一直是13元。 直到国家规定医院不能生产药品,没有厂家愿意生产利润如此之低的药品,它一度面临停工。

截至目前山东只有一家药厂生产,10粒290元,与其他天价抗癌药相比,不算贵。医生的仁慈,比起外在的荣誉和头衔,是他心中最重要的事业,治愈那些坠入深渊的病人,拯救那些受苦的病人。与同类抗癌药几万元的价格相比,一盒仅290元、纳入医保的“救命药”显得格外暖心。