导读:本篇文章由网友(爱吃西瓜子),通过网络收集整理的关于“人人都恐惧的癌症,到底能不能被治愈(癌细胞)”的相关信息,让我们一起来看看详细内容吧!
要说人类最害怕什么病毒,那么一定不是现在在全球肆虐的新冠,而是癌症病毒,而且癌症到现在也没有特效药可以去除,在几十年前就有学者猜想未来几十年就能制作出治疗癌症的药品或者方法,但不幸的是,癌症在今天仍然是一种可怕的疾病,通过研究,科学家们发现,癌症不仅发生在人类身上,在地球生命的进化过程中,它也出现在许多动物身上。

2.4亿年前患癌症的“海龟祖先”为什么人类会患癌症?早在几百年前,研究人员就已经发现了癌症的存在,更不可思议的是,2015年,德国科学家揭开了一块古老的化石,那就是罗氏祖龟,现代科学研究认为,罗氏祖龟可能就是现在的乌龟祖先。这只祖先罗氏龟的尾巴上长了一个可怕的恶性肿瘤,研究人员认为这是它死亡的根本原因。

去年,科学家发现癌症也可能发生在恐龙身上,而恐龙曾经是地球上的主要物种,这表明癌症不仅仅是人类的疾病。那么癌症到底是什么呢?简单地说,癌症是一种恶性肿瘤。我们都知道,当谈到癌症时,都说癌细胞已经扩散,不会活很久。因此,癌症背后的驱动力是癌细胞,癌细胞是一种突变细胞,也是决定一个人是否会患上癌症的关键。癌细胞是人体内的正常细胞,但由于某种原因,这些正常细胞发生了变异,变成了癌细胞。

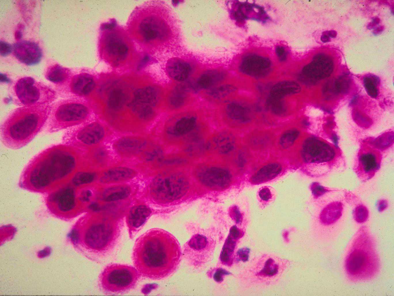
在所有的癌细胞中,最著名的是海拉细胞,它来自一位患有宫颈癌的黑人女性,它的特别之处在于,由于突变,海拉细胞可以无限分裂,或者你可以我明白了。海拉细胞是癌细胞,但它们可以永生。