前言
生命的脆弱和珍贵常常在关键时刻显现出来。对于欧吉明和他的妻子来说,他们在面对生死抉择时,选择了奋力一搏,不愿放弃任何一丝希望。
妻子突然晕倒的那一刻,欧吉明的世界仿佛崩塌了。他急忙将妻子送往最近的医院,医生们迅速展开了救治。经过一系列的检查和测试,医生们给出了一个令人心惊胆战的结果:妻子的病情非常严重,预后不容乐观,只剩下不到两周的生命。

在欧吉明听到这个消息的瞬间,一片沉默笼罩在他们之间。他们相互凝视着,眼中都有着无尽的绝望和无奈。然而,欧吉明内心深处的火焰燃起了,他发誓要为妻子争取每一分生存的机会。
医生向他们详细解释了一种高风险手术的可能性,这是唯一的治疗方法,但成功率极低,手术费用也十分昂贵。医生试图让他们认清现实,警告他们可能面临的人财两空的风险。然而,欧吉明坚定地回答:“做!我一定要给妻子做手术!这是她活下去的唯一希望,哪怕希望渺茫,我也要试一试!”

生命的奇幻逆袭
2015年3月14日,北京协和医院外科门诊大厅出现了一场紧急的情景。一位面容蜡黄、呼吸微弱的女性病人被急救人员抬上担架,引起了周围人的关注。她的丈夫欧吉明焦急地等待着诊断结果,而这位病人被称为单书玲。

当单书玲的名字被呼叫时,她的亲属们急切地将她抬进诊室,由医生进行诊断。然而,诊室里的空间过小,无法容纳担架,于是几位亲属请求医生到外面诊断。
医生同意后,他们一起走出诊室,医生看到单书玲的状况后感到震惊。对于一个能够撑过两周的病人来说,这确实是一个奇迹。医生开始思考,单书玲到底患有何种疾病,它有多么危急,是否还有治愈的可能。

突然晕倒的妻子与主动脉夹层的抗争
2015年3月14日上午9点,北京协和医院外科门诊大厅传来喧嚣声。几个焦急的人匆匆忙忙地推着担架进入医院。担架上躺着一位面容苍白、呼吸微弱的女人,她就是42岁的单书玲。单书玲和丈夫欧吉明来自山东某个村庄,靠种植家里一亩三分地和打零工维持生计。然而,她的健康突然发生了巨大的变化,给这个家庭带来了巨大的冲击。
单书玲是一个常年从事农活的勤劳妇人,尽管偶尔会出现高血压的症状,但她并没有过多在意。她认为,这只是因为劳累引起的暂时性问题,很快就会好转。然而,命运的捉弄让她在两个星期前遭遇了一场突如其来的痛苦。

那天,单书玲像往常一样到田地里干活,突然感到胸部剧烈的疼痛。一开始,她并没有过多在意,认为这只是暂时的不适,很快就会好起来。然而,随着时间的推移,疼痛越来越剧烈,最终导致她晕倒在地。幸运的是,附近的村民发现了她的情况,并立即将她送往镇上的医院。同时,他们也通知了正在外地办事的丈夫欧吉明,让他赶回家中。
欧吉明急急忙忙地赶到医院,满心期望妻子只是过度劳累所导致的暂时性不适,而并非什么大病。然而,当医生告诉他单书玲的病情时,欧吉明难以置信地目睹着妻子命悬一线的局面。
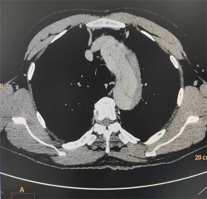
医生对单书玲进行了全面的检查,特别是进行了CT扫描,结果让医生们感到震惊。单书玲被诊断出患有主动脉夹层,这是一种心血管疾病,其短时间内的死亡率极高。

主动脉夹层是由高血压、先天性心脏病等因素引起的,它会导致主动脉内膜层撕裂,使血液从撕裂处进入主动脉中膜,形成脆弱的夹层壁。如果不及时治疗和手术,夹层壁可能会破裂,造成严重的后果,甚至危及生命。
对于患有主动脉夹层的病人来说,60%以上的人在两周内就会死亡,而剩下的40%也很少能够活过一年。因此,当医生们了解到单书玲的病情后,称她为一个真正的“奇迹”。
欧吉明感到不可思议,他很难相信自己平日里看起来健康的妻子会突然患上如此严重且紧急的疾病。然而,医生告诉他,单书玲的病情十分危急,需要进行手术治疗。然而,这种手术的成功率非常低,并且费用昂贵。这使得欧吉明陷入了绝望的境地,他面临着人财两空的可能性。
然而,欧吉明并没有轻言放弃。面对妻子生死攸关的局面,他坚定地决定让妻子接受手术。尽管手术风险高,费用昂贵,但他坚信这是唯一的希望,哪怕成功的可能性微乎其微,他也要为之一试。

一个家庭的挣扎与坚持
42岁的单书玲和丈夫欧吉明来自山东的某个村庄,他们过着平凡而艰辛的生活,依靠种植一亩三分地和打零工来维持家庭的生计。然而,一场突如其来的疾病打破了他们平静的生活。
单书玲平日里身体健朗,尽管有些高血压问题,但她并未过分在意。然而,两个星期前,当她在田地里干农活时,突然胸部剧痛,痛得她晕倒在地。幸运的是,附近的村民及时发现并送她到镇上的医院,并通知在外的丈夫欧吉明。
当欧吉明匆匆赶到医院时,他对妻子的病情感到震惊和绝望。医生告知他,单书玲患有主动脉夹层,这是一种极其危险的心血管疾病,病人的生命随时都处于威胁之中。

欧吉明无法接受妻子病情的严重程度,他决定不顾一切,为了妻子的生命赌上一切。他四处借钱,凑足了前往北京协和医院治疗所需的费用。单书玲病情日益加重,已无法行动,于是欧吉明和亲人一起将她抬到担架上,艰难地将她从山东送到北京。
抵达北京协和医院后,单书玲的病情已经十分危急,她被转入心脏外科重症病房,等待随时可能进行的手术。苗齐教授作为心外科主任,将亲自操刀进行手术。手术的风险和难度巨大,但欧吉明坚定地决定为妻子争取一线生机。
在手术之前,医院召开了多科室会诊,讨论手术的准备和风险。欧吉明和单书玲的家人虽然文化程度不高,但他们全神贯注地倾听医生们的讲解,他们的心中只有一个信念:无论风险多大,他们都愿意为妻子的生命而战。

手术同意书上,欧吉明坚定地签下自己的名字,他的笔触承载着全家人的期盼和希望。然而,在单书玲躺在病床上等待手术的同时,她最牵挂的却是家中的两个未成年儿子。为了避免让孩子们担心,她并没有告诉他们自己的病情。
单书玲知道自己的时日已经不多,她担心孩子们的未来。她嘱咐丈夫和姑姑一定要照顾好孩子们,希望他们能够成长为优秀的人。姑姑看着病床上的单书玲,泪水止不住地流淌。她想不通,为什么这样善良、勤劳的姐姐会如此不幸地患上这样的疾病。

一个家庭的坚守与爱
手术的日子终于来临,单书玲注定要面临一场艰难的生死考验。家人们尽力保持笑容,不让她感受到异样。在手术前的夜晚,全家人聚在病房里陪伴着她,心中满是担忧和紧张。
尽管内心充满焦虑,欧吉明努力安慰妻子,并坚定地表示无论花费多少钱都无所谓,只要人在就好。第二天清晨,单书玲被推进手术室,一场艰难而危险的手术正式开始。
医生们要用人工血管替换单书玲病损的血管。人体内的血管错综复杂且细微,稍有不慎就可能导致大量出血和意外发生。而主动脉手术更是特别,医生们必须让患者的心脏暂时停止跳动,并将身体器官置于休眠状态,体温维持在18摄氏度左右。

医生们必须在短短30分钟内完成血管置换,否则一旦心脏重新跳动,就无法再进行任何缝合。手术的难度和风险可想而知。
手术室外,单书玲的姑姑和弟妹因过度疲惫随意找地方躺下休息,而欧吉明无法入睡,焦虑不安地在手术室门口来回踱步。
在漫长的等待中,欧吉明的脑海中浮现出与妻子一起经历的点点滴滴。为了养家糊口,夫妻俩曾经做过各种辛苦的工作。
记得有一次,天寒地冻,没有农活可做,他们一起去冷库打包苹果。整日的工作让手指关节冻得疼痛,却只能赚到七十多元。
这些回忆让欧吉明深感愧疚和自责,觉得自己作为一个男人娶回家的妻子却未能给予她幸福。此刻,他内心深处充满了深深的歉意。

妻子倒下后,欧吉明才明白自己和这个家庭是多么需要她,她是这个家的支柱和灵魂。站在手术室外,欧吉明凝视着门上显示的"手术中"几个字,哽咽地说出了一句深情至极的告白:“今生今世,来生来世,我就认定你了!我一生一世只喜欢你一个!”
这是欧吉明对妻子的郑重承诺,可惜此刻他的妻子正在手术室内静静躺着,听不到他深情的表白。现在,欧吉明只能默默祈祷手术能够成功,等待妻子康复后,他要好好陪伴她。
手术室内,单书玲正在经历着生死考验。她的心脏好几次停止跳动,然后被医生们紧急抢救回来。在医生们与死神争夺单书玲生命的关键时刻,刘兴荣医生的手指被手术针刺破,血流不止。
这种职业暴露在医学中被称为意外暴露。按照流程,刘兴荣医生应立即处理手部伤口,否则可能感染各种病毒或细菌,危及生命。然而此时正值手术的关键阶段,每一分每一秒都不能被浪费,所以刘兴荣医生简单处理了伤口,继续专注于手术。

经过九个小时充满危险的手术,单书玲的心脏终于成功复跳,手术顺利完成!然而,尽管手术结束,单书玲仍然要面对术后并发症和各种调养。医生告诉欧吉明,手术只是开始,还有漫长的康复之路需要面对。
第二天,欧吉明得到进入重症监护室探望妻子的机会。看着床上插满管子、陷入昏睡的妻子,欧吉明这个坚毅的男人再次流下了泪水。
他哽咽地对妻子说:“你一定要好起来,家里的长辈和孩子都在等你,我离不开你!”术后的第四天,单书玲摘掉了呼吸机,开始自主呼吸。第五天,她从重症监护室转出。
在医生的全力救治和丈夫、家人的支持下,单书玲终于迎来了她的第二次生命!尽管手术成功了,但术后的并发症和康复调养仍然摆在单书玲和欧吉明一家面前。

结语
人们常说,“夫妻本是同林鸟,大难临头各自飞”,但单书玲多么幸运,遇到了一个有责任感的丈夫欧吉明。欧吉明承担起作为男人和丈夫应有的责任,他值得所有人的赞赏。当然,善良而顾家的单书玲也值得拥有这样的丈夫。希望他们能够携手度过更好的明天!