导语:我们生活在这个世界上,每天都会遇到形形色色的人,发生许许多多的事情。有些事情的发生你根本意想不到,可是就那样不经意间发生在你身上。接下来呢就由小编为大家揭秘发生在自己身边的十大怪事,感兴趣的赶紧一起往下看!

1、耳蛆

说到蛆,哈萨克斯坦的医生在一个男孩的耳朵里发现了非常令人不安的东西。男孩去看医生,抱怨耳朵疼,但当医生往里面看时,他发现了活蛆。如果不加以治疗,吃肉的蛆可能会跑到他的大脑并杀死他。哈萨克斯坦科学研究兽医研究所副所长说,这起案件并不是独一无二的。这意味着这种事经常发生。哎呀!
2、肺鱼

在印度的一条河里玩耍时,一个男孩不小心吸入了一条9厘米长的鱼,最后落在了他的肺里。当医生进行支气管镜检查时,鱼还活着。
3、眼虫

来自爱荷华州锡达拉皮兹市的约翰·马修失明了。当他去看医生时,发现他的眼睛里有一条浣熊虫,正在吃视网膜。当医生们试图用激光杀死它的时候,马修说他可以看到蠕虫在晃动,试图生存。幸运的是,医生及时对他进行治疗。如果不加以控制,蠕虫最终可能会杀了他。
4、膝海蜗牛

当4岁的保罗·富兰克林在海滩上擦伤了膝盖,没人会这么想。然而,两周后,膝盖感染了。医生最初认为这是葡萄球菌感染,并用抗生素治疗保罗。然而,治疗未能完全清除感染,令他们惊讶的是,有一块黑色的小石头从膝盖受伤的位置长出来了。不过,那不是一块石头,而是一只小海螺。男孩给它取名为“涡轮”。
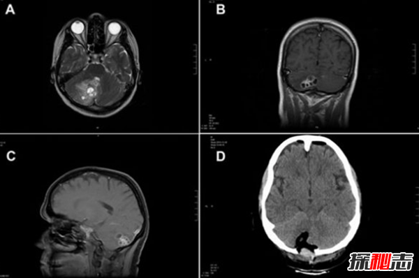
5、脑内绦虫

罗斯玛丽·阿尔瓦雷斯以为她得了脑瘤,当医生们去做手术时,发现她的脑干上有一条绦虫。医生拿掉了它,最后她完全康复了。很明显,她吃了被人类粪便污染的食物后体内产生了蠕虫。
6、肛门内装可乐瓶

一名中国男子抱怨胃部疼痛然后去了医院,当医生询问潜在原因时,这个人声称不知道。然后,当医生进行x光检查时,在他的肛门里发现了一个可乐瓶和一根钩子电线。这名男子随后承认,他把可乐瓶塞在那里,但当他拿不出来时,他试着用铁丝把它移开,而它也被卡住了。医生被迫动手术移除他身体中这些异物。
7、蟑螂耳朵

当一名60岁的男子发现一只蟑螂在他的耳道里爬行时,他竭尽全力杀死它,包括用牙签和镊子。最后,他喷洒了一种杀虫剂,并赢得了这场战斗,但蟑螂死尸仍然留在他的耳朵里。当然,耳朵变得肿胀和感染,医生不得不手术切除它。
8、口注射乌贼

你可能不相信这一点,但一位63岁的妇女在吃鱿鱼后怀了12只鱿鱼宝宝。这名女子吃了鱿鱼的精子袋,然后多个小乌贼在嘴里进行了人工授精。她说,她的牙龈和牙齿上都有刺痛感,当医生给她做检查时,他们发现“头足类婴儿”附着在她的嘴上,最后医生们把婴儿移走了。
9、胃内磁铁

一个8岁的孩子在急诊室抱怨胃痛。当他们做x光检查时,在她的胃里发现了一堆磁铁和电池。他们不得不通过手术拿出来,由于损伤,她失去了10厘米的肠子。
10、蜘蛛耳

一名中国妇女住进医院,抱怨耳朵发痒。当医生调查时,他们惊讶地发现一只蜘蛛在里面居住。为了去除它,他们用生理盐水把它冲洗了出来。
结语:看完上述小编为大家盘点的发生在自己身边的十大怪事,相信大家都有所了解了吧!小编在这里提醒大家一定要注意个人卫生,对自己身体健康要负责!